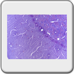
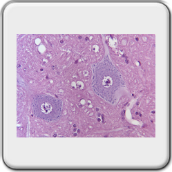
Nissle substantie in motorische neuronen, cresylvioletacetaat kleuring
Histochemie: De 'Nissl kleuring'.
Doel van het preparaat: Het zichtbaar maken van RER en vrije ribosomen in het cellichaam van neuronen.
Neuronen[1]
Zenuwcellen of neuronen zijn in volwassen toestand niet meer delende cellen die de communicatie binnen het zenuwstelsel, maar ook met andere weefsels (onder andere spieren), verzorgen. Het gaat hier om opneming, overbrenging en verwerking van prikkels, waarbij neurotransmitters en andere informatiemoleculen en rol spelen.
Neuronen bestaan uit drie onderdelen.
Neuronen bestaan uit drie onderdelen.
1. Het cellichaam of perikaryon: het stofwisselingscentrum van de cel, met de kern als middelpunt, dat ook gevoelig is voor prikkels.
2. De dendrieten: sterk vertakte uitlopers, waarvan er meestal een aantal per neuron voorkomt. Zij vangen meestal stimuli op en geleiden deze naar het cellichaam.
3. Het axon: een enkele, vaak zeer lange uitloper, die meestal impulsen naar andere cellen (neuronen, spiercellen of kliercellen) leidt.
Perikaryon[1]
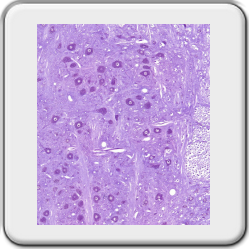
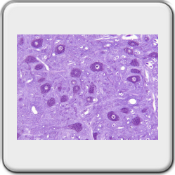
Het perikaryon bevat de kern van de zenuwcel en het daaromheen liggende cytoplasma[2], zonder uitlopers. Dit stofwisselingscentrum kan ook impulsen van andere neuronen op zijn oppervlak ontvangen.
De grote kern heeft een opvallende nucleolus[2] en een fijn verdeeld chromatine. Tevens worden veel vrije polyribosomen en wordt een sterk ontwikkeld RER (ruw endoplasmatisch reticulum[2]) aangetroffen. Dit alles wijst op hoge eiwitsynthetiserende activiteit voor structurele en exporteiwitten (neurotransmitters[2]). Al in de negentiende eeuw konden het RER en de vrije polysomen[2], door kleuring met cresylviolet (kleuring van Nissl), worden waargenomen als basofiele elementen in het cytoplasma: de Nissl-substantie. De hoeveelheid van deze substantie verschilt al naar gelang het type zenuwcel en de activiteit ervan. Er is veel Nissl-substantie in grote zenuwcellen, zoals de motorische neuronen[2].
De grote kern heeft een opvallende nucleolus[2] en een fijn verdeeld chromatine. Tevens worden veel vrije polyribosomen en wordt een sterk ontwikkeld RER (ruw endoplasmatisch reticulum[2]) aangetroffen. Dit alles wijst op hoge eiwitsynthetiserende activiteit voor structurele en exporteiwitten (neurotransmitters[2]). Al in de negentiende eeuw konden het RER en de vrije polysomen[2], door kleuring met cresylviolet (kleuring van Nissl), worden waargenomen als basofiele elementen in het cytoplasma: de Nissl-substantie. De hoeveelheid van deze substantie verschilt al naar gelang het type zenuwcel en de activiteit ervan. Er is veel Nissl-substantie in grote zenuwcellen, zoals de motorische neuronen[2].
Veranderingen in het perikaryon onder wisselende omstandigheden[3]
Prof. Dr. Med. Werner Kahle (Neurologisch instituut van de universiteit van Frankfurt), beschrijft in ‘dtv-Atlas der Anatomie’[3] de functionele veranderingen van een neuron die het ondergaan kan bij wisselende omstandigheden zoals bijvoorbeeld arbeid verrichten of langdurige geluidsbelasting.
Kleuring van een preparaat met cresylviolet om Nissl substantie aan te tonen
De kleuring is gebaseerd op een protocol van IHCworld, zie afbeelding hiernaast.
De auteur heeft het protocol aangepast op het eigen preparaat maar het principe blijft ongewijzigd.
De auteur heeft het protocol aangepast op het eigen preparaat maar het principe blijft ongewijzigd.
Wel is erg belangrijk te vermelden dat de kleurstof Cresylviolet-acetaat dient te zijn mat CAS No: 10510-54-0
De kleurstof is bijvoorbeeld bij 'Merck' te bestellen. Zie: https://www.sigmaaldrich.com/NL/en/search/10510-54-0?focus=products&page=1&perpage=30&sort=relevance&term=10510-54-0&type=product
De kleurstof is bijvoorbeeld bij 'Merck' te bestellen. Zie: https://www.sigmaaldrich.com/NL/en/search/10510-54-0?focus=products&page=1&perpage=30&sort=relevance&term=10510-54-0&type=product
Nissl kleuring | Tijden |
Coupes in warme 35°C xyleen brengen* | 10 min |
Coupes in warme 35°C xyleen brengen* | 10 min |
Ethanol of isopropanol 100% | 5 min |
Ethanol of isopropanol 100% | 5 min |
Ethanol 95% | 3 min |
Ethanol 85% | 3 min |
Ethanol 70% | 3 min |
Ethanol 50% | 3 min |
Spoelen in leidingwater | 5 min |
Spoelen AD | 5 min |
Cresylviolet-acetaat 35°C | 30 min |
Spoelen AD | 1 min |
Differentiëren in Ethanol 95% (kort) | ≈ 15 sec |
Isopropanol 100% I en II (geen Ethanol)** | 2 x 4 min |
Xylol I en II | 2 x 4 min |
Malinol/Euparal/Depex*** |
* Alle paraffine moet goed worden verwijderd, zorgt voor een gelijkmatigere kleuring.
** Isopropanol stopt het differentiatieprocess beter dan Ethanol.
*** Depex is absoluut zuurvrij en preparaten van de auteur zijn na 10 jaar nog steeds ongewijzigd.
Cresylviolet-acetaat: |
- 0,1g Cresylviolet-acetaat oplossen in 100ml AD (verwarmen tot 60 graden Celcius); - Na afkoeling, vlak voor gebruik, 10 druppels of 0,3 ml IJsazijn 100% toevoegen en filteren. |
In het boek "Atlas der normalen mikroskopischen Anatomie des Menschen"[4]...
...van Max Clara, Kurt Herschel en Helmut Ferner, staan diverse neuronen getekend weergegeven. Hier zijn de bedoelde Nissl lichaampjes of 'substantia tigroidea' duidelijk zichtbaar.
Preparaatgegevens,
De hersenstam en kleine hersenen zijn afkomstig van een Cavia of Guinees biggetje en is gefixeerd in formaldehyde 4%.
Het blok is ingegoten in paraplast plus en vervolgens gesneden op een A&O 820 rotatiemicrotoom. Coupedikte is 4µm.
Als indekhars is gekozen voor Depex van de firma Serva en is onder andere aldaar te koop: https://www.serva.de/enDE/ProductDet......DePeX_0_0.html
De hars is volkomen zuurvrij en makkelijk te hanteren.
Na enkele dagen drogen is overtollige hars eenvoudig met een stanley mesje te verwijderen.
Om een afbeelding op groot formaat te verkrijgen die naderhand behoorlijk 'zoombaar' is heeft de auteur 171 opnamen gemaakt met een Leitz plan Fluotar 16x objectief. Gebruik is gemaakt van een Moticam 2300 camera op een Leitz Orthoplan microscoop.
Klik op de afbeelding hiernaast en zoom in op diverse structuren van de hersenstam en cerebellum.
Bronvermelding:
[1] Junqueira L.C. en Carneiro J. (2004, tiende druk), Functionele histologie, Maarssen. Uitgeverij Elsevier. Hoofdstuk 9, pag. 189-190, 'Zenuwweefsel', ISBN: 90 352 2671 2.
[2] Wikipedia, de vrije encyclopedie, https://nl.wikipedia.org/wiki/Hoofdpagina
[3] Prof. Dr. Med. Werner Kahle (1976), Taschenatlas der Anatomie für Studium und Praxis, dtv Verlag Munchen, Georg Thieme Verlag, Bd. 3., Nervensystem und Sinnesorgane, ISBN: 3 423 03019 4, ISBN: 3 13 492201 0.
[4] Prof. Dr. med. Max Clara (1974), Atlas der normalen mikroskopischen Anatomie des Menschen, Uitgeverij Urban&Schwarzenberg. pag. 357 en 373, 'Systema nervosum', ISBN: 3 541 06331 9.

