Fotogalerij 2 - De wereld onder de microscoop

De wereld onder de microscoop
De wereld onder de microscoop
Ga naar de inhoud
Disclaimer: Alle getoonde opnamen van preparaten, apparatuur en video's  op deze website zijn vervaardigd door de auteur en daarom niet vrij te gebruiken. U dient voor publicatie, in welke vorm dan ook, te allen tijde om toestemming te vragen.




Saggitale coupe van een muis Mallory 1900. Meer informatie is te vinden in de preparaatbeschrijving.



Spermatogenese in de testis van een muis aangevuld met een DNA-fluorescentie kleuring met DAPI.
Meer informatie is te vinden in de preparaatbeschrijving.


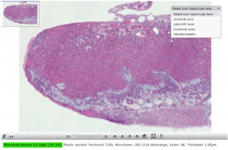
Trofoblast reuscellen in de placenta van een muisembryo. Meer informatie is te vinden in de preparaatbeschrijving.
© R. Schulte
Terug naar de inhoud